醫患之橋
滕州市中心人民醫院超聲科將于5月14日開展“胃超聲造影檢查”新技術。患者僅需要先喝下一杯 “糊糊”,然后行超聲造影檢查,就能輕松查獲胃部疾病。本檢查無輻射,不插管,適合大多數患者。
什么是胃超聲造影檢查?
胃超聲檢查通過口服速溶胃窗聲學造影劑,清晰地顯示胃腸壁的層次結構,同時對胃周圍毗鄰臟器和組織也能清晰顯示,尤其是胰腺、胃周圍和后腹膜淋巴結、腹膜后血管,豐富了病變圖像的信息,對粘膜下及胃周圍病變的顯示具有較高的水平,彌補了X線鋇餐和胃鏡僅能顯示粘膜病變的不足,和這兩者結合,可取長補短,明顯提高了胃部疾病診斷的準確率,為臨床診斷胃部疾病又增加了一種新的理想的檢查方法。速溶胃窗聲學造影劑的主要成分為薏苡仁、淮山藥、陳皮等食藥兩用中藥,服用口感好,已經臨床使用數十萬例。胃超聲造影檢查安全、無輻射、無交叉感染,是一種常用、準確的體外檢查手段;檢查使用一次性耗材,避免了器具的重復消毒使用,使患者之間的交叉感染率大大降低。
胃超聲造影檢查前需要哪些準備?
胃超聲檢查宜安排在上午進行,注意將胃超聲檢查安排在X線鋇劑造影之前,以避免鋇劑對超聲檢查的影響。已行鋇劑造影者,則應待鋇劑完全排出后再行超聲檢查。檢查前一日晚餐進流食,其后禁食,查前4小時內禁水。
胃超聲造影檢查的適應證、禁忌證有哪些?
適應證:1、腫瘤:良性腫瘤:胃息肉,間質瘤,其他間葉組織良性腫瘤(如纖維瘤、神經鞘瘤、血管瘤、脂肪瘤等);惡性腫瘤:胃癌,惡性間質瘤,胃惡性淋巴瘤,胃轉移瘤等。
2、炎癥:急、慢性胃炎,胃潰瘍,十二指腸潰瘍,胃內炎性肉芽腫,胃壁旁膿腫等。
3、胃粘膜病變:胃粘膜脫垂癥,巨大胃粘膜肥厚癥等。
4、先天性病變:先天性肥厚性幽門狹窄,胃囊腫,胃壁胰腺異位癥,胃憩室,胃反應等。
5、梗阻性疾病:賁門梗阻、幽門梗阻。
6、其他疾病:胃石癥,胃內異物癥,胃內蛔蟲癥,胃底靜脈曲張,胃下垂。禁忌證:急性胃擴張、上消化道穿孔、上消化道活動性大出血等。
胃超聲造影檢查的優點:
1、動態觀察胃張力、蠕動、有無反流、排空等情況。
2、觀察粘膜下層病變及周圍眥鄰器官之間的關系。
3、可測量病變的浸潤范圍、大小、深度。
4、準確、無痛、無創、無交叉感染、無麻醉傷害、無射線傷害,適應人群廣泛。
胃超聲造影檢查適合哪些人群?
1、有胃病但又害怕做胃鏡的;
2、身體虛弱,經不起做胃鏡的;
3、更適合于老人和小孩;
4、胃部手術后需定期復查胃情況的日常健康體檢。
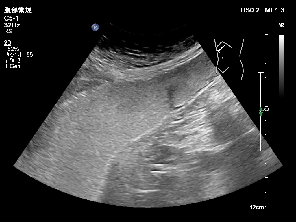
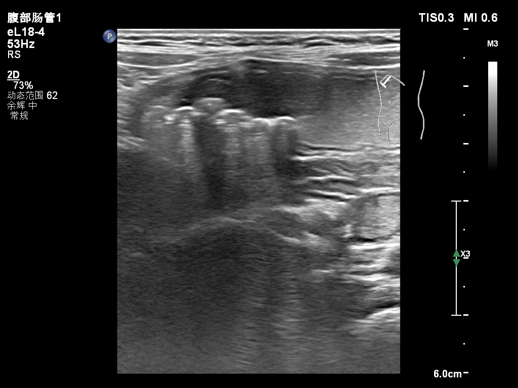
病例展示:

胃癌

胃息肉

胃內異物—磁力珠

胃潰瘍

急性胃炎
檢查地點:門診三樓超聲科
科室電話:0632-5594173
聯系人:孫林林 15006787729
(超聲科)

你所在的位置: