健康科普
臨床核醫學是利用放射性核素示蹤原理和輻射生物效應進行疾病診斷和治療的新興學科,其應用充分體現了現代醫學精準診療的發展趨勢。核醫學在疾病的早期 “定位”“定性”“定量”“定期”診斷和對特定疾病的靶向治療上具有獨特且不可替代的作用。我院核醫學科精選部分病例進行分享,以期總結臨床經驗,拓寬診療思路,提高對疑難病例的診療水平。
病例
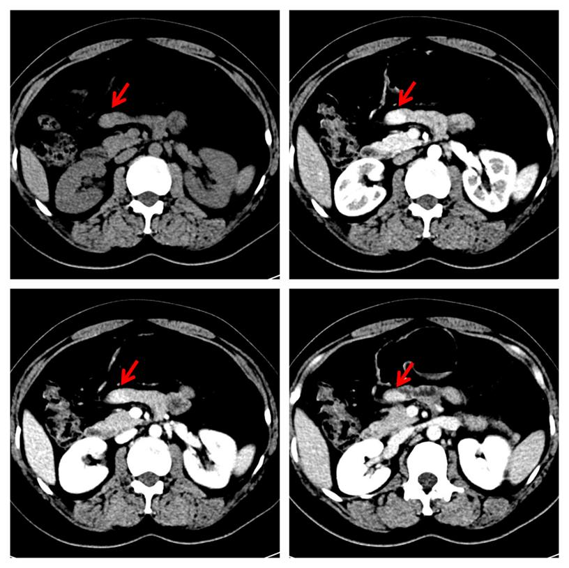
中年女性,2年前因"右胸壁惡性黑色素瘤"行手術治療,平素無腹脹、腹痛、惡心、嘔吐等不適癥狀。本次常規復查,行增強CT檢查發現小腸結節,考慮神經內分泌腫瘤可能大(圖1)。本次發病以來,精神、飲食、睡眠差,近2 日有少量便血,小便無異常。體格檢查:腹部平坦,未見腸型及蠕動波,腹肌軟,無壓痛及反跳痛,腸鳴音弱。實驗室檢查:消化道腫瘤標志物(甲胎蛋白、癌胚抗原、糖類抗原19-9、糖類抗原72-4)、血常規、肝腎功能均在正常范圍內。

圖1,增強CT檢查示小腸結節(紅箭),明顯強化
診療經過
患者完善PET/CT檢查,小腸結節未見明顯代謝異常,考慮良性病變(圖2)。

圖2,PET/CT示小腸結節(十字線交叉處),呈低代謝表現
患者因有“惡性黑色素瘤”病史,對良性病變的診斷存在疑慮,遂進行了小腸結節的手術,行腹腔鏡探查+小腸腫瘤切除術,術后病理考慮“異位胰腺”。
病例相關知識
異位胰腺是一種少見的胰腺先天性發育異常,是指在解剖上與原位胰腺無關的部位出現胰腺組織,其與原位胰腺既沒有血管聯系,又沒有導管聯系。本病好發年齡為40~60歲,男性居多,好發部位有胃(24%~38%)、十二指腸(9%~36%)、空腸(0.5%~27%)和梅克爾憩室(2%~6.5%) 。胃的異位胰腺最常見位置是距幽門6cm范圍內的胃竇大彎側,十二指腸病灶最常發生在十二指腸降部,而空腸病變常位于屈氏韌帶附近。多數單純異位胰腺無癥狀,臨床上多因并發炎性病變、潰瘍、出血、惡變、腸套疊和腸梗阻等出現不適癥狀而發現。典型的異位胰腺多表現為向腔內生長的結節,其CT及MRI表現通常與原位胰腺相似。但實際臨床工作中單純依靠CT影像正確診斷非常困難,有研究報道了47例經病理證實的胃腸道異位胰腺,CT診斷正確4例,正確率僅8.5%。
診斷思路
本例患者有"右胸壁惡性黑色素瘤"手術病史,且增強CT懷疑“神經內分泌腫瘤”,行PET/CT檢查目的是為了進一步明確分期,指導后續治療。PET/CT表現為低代謝,提示良性病變,最終得到病理證實。PET/CT是分子影像學利器,能夠從代謝的角度提供信息,反映細胞活躍程度,為診斷帶來新的思路。惡性腫瘤或炎癥病變細胞葡萄糖酵解能力往往高于正常組織細胞,會大量積聚18F-FDG,從而被PET敏感地捕捉到。當PET顯像為“陰性”顯像時,說明細胞代謝不活躍,更傾向良性病變。
(張峻圍 關祥禎)

你所在的位置: