健康科普
天氣變冷了,棕色脂肪又開始顯影了。在做PET/CT檢查之前預約時,工作人員都會叮囑患者檢查前一定要注意保暖。那么PET/CT跟保暖有什么關系呢?今天我們一起揭秘PET/CT顯像中的假象——棕色脂肪顯影。
PET/CT檢查常用的顯像劑18F-FDG是放射性核素(18F)和脫氧葡萄糖(FDG)結合而成,當這種顯像劑進入人體,不管是正常細胞還是腫瘤細胞,都會攝取。而腫瘤細胞因其快速增殖的特性,會消耗更多的葡萄糖,所以攝取量更大,這也是PET/CT檢查時惡性病變會呈現高攝取的原因。
棕色脂肪(brown adipose tissue,BAT)因含有豐富的血紅蛋白和細胞色素使其呈現棕褐色而得名,在嬰兒體內廣泛分布,而占成人脂肪的少部分。棕色脂肪細胞內含有豐富的線粒體,能夠加速代謝,產生熱量,是成人冷適應和非戰栗性產熱的重要來源,對維持體溫、能量平衡及調節血糖起重要作用,甚至可以消耗白色脂肪達到減肥的目的。

成年人白色脂肪和棕色脂肪分布模式圖
棕色脂肪主要存在于頸部、鎖骨上方、脊柱周圍、腋窩和腎臟周圍;白色脂肪組織主要分布于頸部、肩部、后胸和腹部皮下以及內臟周圍。
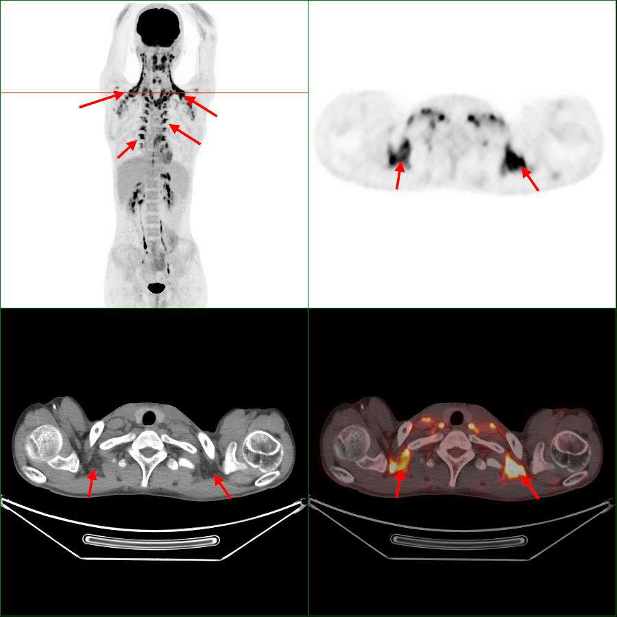
在寒冷環境下,人體為了維持體溫,棕色脂肪會迅速地分解和消耗,以釋放出能量來維持體溫,形成高代謝攝取(圖1,箭頭),被PET/CT檢測到其顯影。對讀片醫生來說,它是偽影,會掩蓋該區域的病灶檢出,影響對病灶的判斷。當對診斷有嚴重影響時,不得不改期再次進行PET/CT檢查,造成不必要的時間和經濟損失。

圖1 第1次顯像,箭頭指示為棕色脂肪顯影

圖2 同一患者3天后第2次顯像
對于體重指數低、緊張狀態、寒冷環境的患者,要避免棕色脂肪的影響,應注意以下幾點:
1.PET/CT檢查前采取適當保暖措施,尤其注意頸部保暖,避免受涼。
2.為保證設備正常運轉,PET/CT候診區、休息室及檢查室的溫度常年恒定于20℃左右,請受檢者合理穿著衣物。
3.提前了解檢查流程,避免情緒緊張,減少對交感神經的刺激,可降低棕色脂肪顯像的概率。
加溫保暖是最簡便易行、有效減低棕色脂肪攝取的常用手段,能夠有效保證檢查合格率。因此,做PET/CT檢查,記得添加衣物,注意保暖!
(張瑩瑩)

你所在的位置: