技術前沿
Technological frontier
我院成功開展人工關節假體周圍感染一期翻修手術
日期:2022-04-23 瀏覽量:2509
關節運動醫學二科蘇長征團隊,在我院首次成功開展人工膝關節假體周圍感染一期翻修術,標志著我院關節置換手術技術又上新臺階。
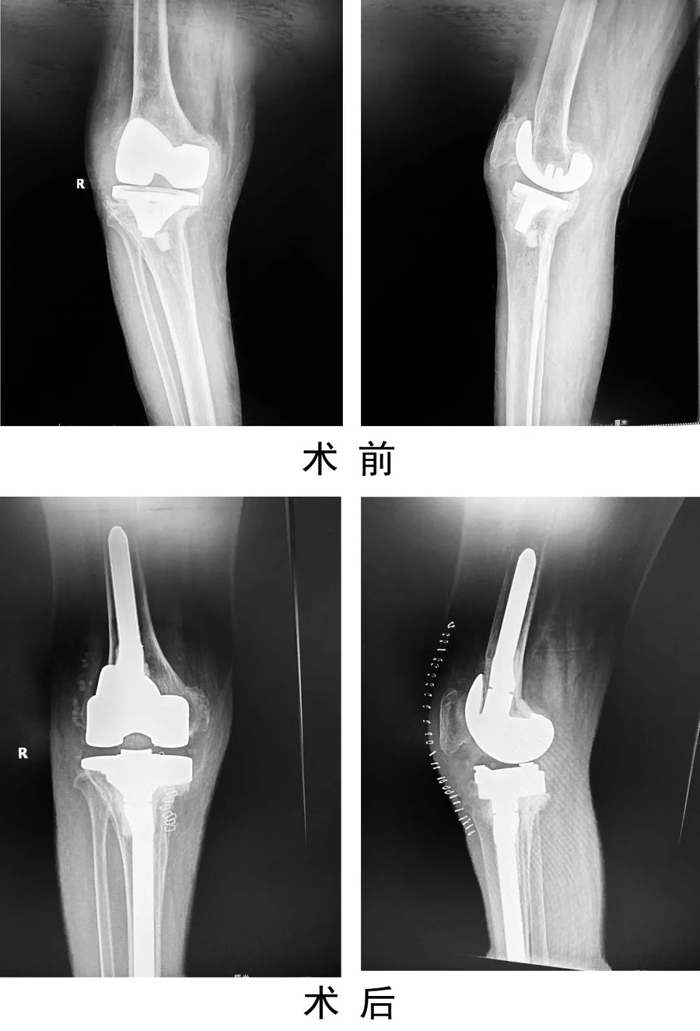
患者,女,69歲,因“右膝人工關節置換術后6年,疼痛伴活動受限1年”入住關節運動醫學二科。術前X線示右膝人工關節假體松動,感染指標檢查:C反應蛋白80mg/L,血沉20mm/h,關節穿刺培養提示表皮葡萄球菌感染。查體見有膝部有一長約15cm手術疤痕,皮溫高,關節腫脹,右膝關節活動受限。入院診斷為:右膝關節假體周圍感染,人工假體松動,右脛骨平臺骨缺損。
患者入院后,關節運動醫學二科手術團隊制定嚴密的手術計劃,為患者實施了一期右膝人工關節翻修術,一次手術清除原假體,徹底清創后,重新植入翻修假體。手術后患者右膝刀口一期愈合出院,患膝功能良好,疼痛緩解。復查感染指標C反應蛋白4.45mg/L。

人工關節假體周圍感染的治療是非常棘手的難題,二期翻修仍是目前國際公認的金標準,先手術取出原假體,關節內放置占位器,等待感染控制后再次手術植入新的假體。患者需經歷兩次手術的痛苦,花費大,康復時間長。隨著手術技術的提高,目前好多大醫院逐步開展人工關節假體周圍感染的一期翻修術。嚴密的手術計劃,術中徹底清創,敏感的抗生素應用以及熟練的翻修手術技術是一期翻修手術成功的關鍵。
我院成功開展人工關節假體周圍感染一期翻修手術,減少了患者兩次手術的痛苦,節約花費,縮短了康復時間,深受患者的好評。(關節運動醫學二科)

你所在的位置: