技術前沿
Technological frontier
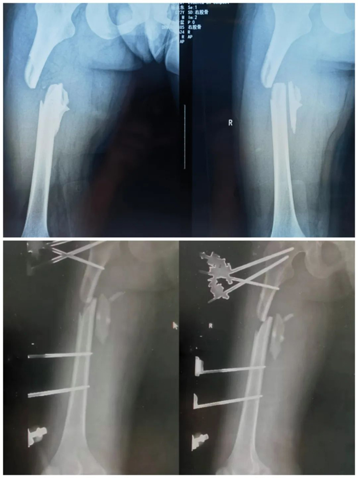
近日,一名22歲青年男性騎車不慎摔倒,右下肢損傷嚴重,被緊急送至我院。急診檢查發現患者右大腿明顯腫脹畸形,右側膝踝和足部活動受限,右下肢感覺麻木,血運極差。初步診斷股骨干骨折合并右下肢神經血管損傷。
圖片血管損傷救治最重要的就是時間,必須和時間賽跑,在6-8小時內讓患肢遠端恢復血供。否則,患者的右下肢可能不保,甚至有生命危險,一場與時間賽跑的“肢體保衛戰”就此展開。

創傷一科副主任楊錫明接到急診電話后,立即組織醫護團隊準備搶救,開通綠色通道并聯系血管外科急會診,給予患者完善術前相關檢查、備血、補充血容量并立即將患者送往手術室。經探查發現患者腘窩處肌肉、筋膜、韌帶斷裂,股動脈遠端及腘動脈無搏動、管壁無彈性,挫傷嚴重。血管外科主任徐存東組織科室人員立即行腘動脈切開探查,發現腘動脈內有血栓,行取栓后血運不佳,考慮動脈損傷嚴重,當機立斷決定取同側大隱靜脈行血管移植。血管外科副主任李強沉著應對,“取長補短”,使用血管縫合線將患者自體靜脈移植到動脈端。與此同時,創傷一科副主任劉志率領團隊對患者一期實施股骨骨折閉合復位+右膝外固定架固定術。
經過3個多小時的連續奮戰,順利完成了腘動脈自體靜脈搭橋移植術+患肢外固定支架固定術。患者右下肢血供終于恢復,手術順利結束。術后又經過ICU、普通病房的精心治療護理,目前患者肢體恢復良好,無明顯并發癥,已康復出院。

創傷性疾病是自然災害、工業創傷、運動過程中出現的突發事件,創傷合并血管損傷病情往往更加復雜,常導致高休克、高死亡率,增加了創傷救治的難度。?
2020年4月,我院率先在棗莊地區成立獨立的血管外科,學科專業的細化及血管修復技術的日益精進逐步滿足復雜創傷救治的需要。在創傷科、血管外科、麻醉科、手術室、彩超室、輸血科、重癥醫學科等多學科搶救團隊的共同努力下,我院已成功救治多例急性復雜創傷合并血管損傷患者,挽救了患者生命,維護了人民群眾的健康。( 血管外科 創傷一科)

你所在的位置: