技術前沿
Technological frontier
臨床核醫學是利用放射性核素示蹤原理和輻射生物效應進行疾病診斷和治療的新興學科,其應用充分體現了現代醫學精準診療的發展趨勢。核醫學在疾病的早期 “定位”“定性”“定量”“定期”診斷和對特定疾病的靶向治療上具有獨特且不可替代的作用。我院核醫學科精選部分病例進行分享,以期總結臨床經驗,拓寬診療思路,提高對疑難病例的診療水平。
病例??
老年男性,主訴:頭暈2天,右側肢體無力6小時。現病史:患者于2天前出現頭暈,呈持續性,伴視物旋轉及視物雙影,無惡心、嘔吐,未在意。入院前6小時突然出現右側肢體無力,伴右側肢體麻木,伴言語不清。
顱腦CT檢查示:“腦干、左側小腦半球類圓形高密度影,瘤卒中?腦出血?”(圖1)。
既往史:“高血壓病”病史5月,最高血壓210/100mmHg,未治療。
個人史:吸煙30余年,平均20-40支每天;飲酒30余年,平均3-4兩每天。

圖1.左側小腦半球、腦干高密度占位性病變。
診療經過:
入院后完善檢查示:癌胚抗原CEA22.82ng/ml(0-10)、神經元烯醇化酶NSE20.620 ng/ml(0-20)升高。
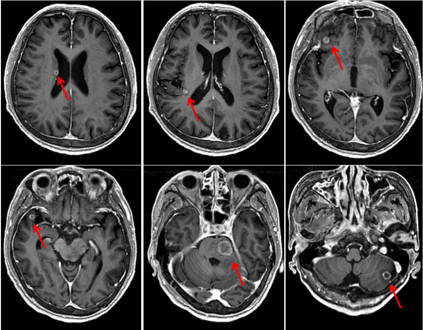
完善顱腦強化MRI檢查示:腦干、左側小腦半球、右側額顳葉、右側基底節放射冠區多發占位性病變,符合轉移瘤表現(圖2)。

圖2.腦干、左側小腦半球、右側額顳葉、右側基底節放射冠區多發占位性病變。
為明確原發灶行PET-CT進一步檢查(圖3、4)。PET/CT示:左肺上葉不規則囊性灶(SUVmax約5.3),左肺門、主動脈弓下高代謝病變(SUVmax約12.1);診斷為左肺上葉癌并多發轉移。


圖3、4. 左肺上葉不規則囊性灶(黃箭),SUVmax約5.3;左肺門、主動脈弓下高代謝病變(綠箭)SUVmax約12.1。
后行CT引導下經皮肺穿刺活檢術,病理證實為鱗狀細胞癌。
病例相關知識??
囊性肺癌,其名稱尚未統一,曾被稱為囊性空洞型肺癌、囊變性肺癌、薄壁空腔型肺癌等等,隨著CT篩查的普及,更多的此類病變被檢測出來。囊性肺癌好發于中老年,60歲左右多見,男性好發,可能與吸煙史有一定的關系。臨床癥狀多表現為咳嗽、咳痰、咯血、胸痛等,但缺乏特異性。
囊性肺癌主要是腺癌為主,約占80%,鱗狀細胞癌是第二常見的亞型。另外,還有極少數其他類型的腫瘤,如腺鱗狀、神經內分泌和淋巴瘤。多數病變為囊腔伴實性成分,可能與病變進展過程有關,早期囊腔型肺癌有可能僅表現為薄璧囊腔樣結構,很容易被誤診為肺大泡、肺囊腫。因此,需要有計劃地隨診觀察,當發展為實性病灶時更易被發現并診斷為肺癌。
診斷思路??
本例患者初步診斷腦轉移瘤,腫瘤標記物篩查未見明顯特異性異常,臨床選擇PET/CT來尋找原發灶。PET/CT不僅發現了原發灶,而且展示了原發病灶代謝不均質的特點,引導對代謝程度高的部位進行活檢,取到可靠的標本,最終得到病理診斷。
惡性腫瘤細胞代謝活躍,葡萄糖酵解能力高于正常組織細胞,腫瘤細胞攝取葡萄糖增加;18F-FDG是一種葡萄糖類似物,能夠大量積聚于腫瘤病灶內,被PET捕捉到相關信息,可以“一目了然”地了解全身各臟器組織的葡萄糖代謝情況,加上同機CT圖像所提供的精細準確解剖結構,能夠同時提供代謝和解剖信息,起到1+1遠大于2的作用。
TIPS??
1.對于原發灶不明的轉移瘤,如腦轉移、肺轉移、骨轉移、肝轉移等,以及腫瘤標記物升高,PET/CT為精確尋找腫瘤的原發臟器提供了一個標準化的路徑,從而在診斷流程上大幅降低了不必要的風險。
2.PET/CT展示的精準的代謝信息可以指導更快的病理學檢驗,從而制定及時有效的治療策略。
3.PET/CT在腫瘤診療過程中的應用,能夠有效避免很多彎路,節約寶貴的治療時間和費用。
4.根據美國國立綜合癌癥網絡非小細胞肺癌臨床實踐指南(NCCN2023.3版), PET/CT被推薦用于肺癌治療前評估。(?張峻圍?關祥禎)

你所在的位置: