技術前沿
Technological frontier
我院關節運動醫學科利用全膝關節手術定位系統(iKAPS)完成復雜膝關節置換術
日期:2023-09-25 瀏覽量:2179
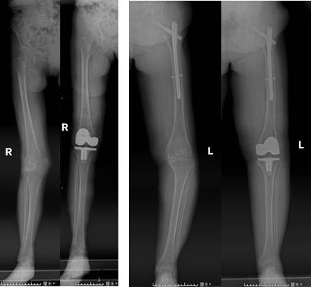
膝關節疼痛是困擾老年人常見的問題,而膝關節置換手術是治療終末期膝關節退變的主要有效手段。近日,我院關節運動醫學科康立新主任醫師團隊,利用全膝關節手術定位系統(iKAPS)完成兩例復雜膝關節置換手術。該技術為膝關節畸形嚴重、股骨髓腔閉鎖或者既往股骨近端手術有內植物的患者進行膝關節置換,提供了一種更加精準、有效的治療方法。

術中使用類似麻將牌大小的下肢力線測量儀,配合醫療交互軟件和配套工具,精準地測量出股骨遠端和脛骨平臺的截骨角度,輔助手術者進行個體化的精準截骨,恢復下肢力線。術中不需要打開股骨髓腔,比傳統手術出血少、恢復快。

手術前后患者X線片對比
全膝關節手術定位系統(iKPAS)可用于初次或復雜全膝關節置換手術,在不開髓的情況下實現膝關節力線的定位,尤其針對股骨骨折內固定物未取出的情況,優勢更加明顯。
近年來,我院關節運動醫學科在康立新主任醫師的帶領下,連續開展機器人輔助下髖、膝關節置換術,肘關節置換術,iKAPS輔助下復雜膝關節置換術等新技術,引領關節外科繼續朝數字化、智能化、精準化、個性化發展。??(杜庚衡)

你所在的位置: