技術前沿
Technological frontier
近期,我院神經外科腦血管病團隊在常規腦出血治療基礎上,成功開展腦干出血清除手術。
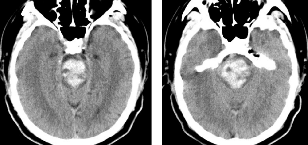
患者,男,45歲,1月2日因“突發昏迷1小時”被同事送至我院,急診CT檢查示腦干大量出血,出血量約15ml。此時患者已深度昏迷,各項生理反射消失,自主呼吸不穩定,肢體強直并出現中樞性高熱,體溫40℃。因病情危重、隨時可能出現呼吸心跳驟停,緊急收入重癥監護室,給予氣管插管、呼吸機通氣,維持各項生命指標治療。
神經外科續繼軍主任、李永濤主任仔細查看患者情況,并與重癥監護室醫生討論及評估后,認為患者出血量大,如保守治療存活機會渺茫,手術可能還有一線生機,而手術風險及難度巨大、術后管理復雜。在詳細告知家屬情況后,家屬同意手術治療。
在手術室、麻醉科的積極配合下,整個手術團隊分工有序、緊密配合,采用顳下入路,切開小腦幕,暴露并保護滑車神經、三叉神經、大腦后動脈,應用顯微鏡在橋腦三叉神經上區域通過4毫米的通道,清除腦干內10余毫升出血,并對原發出血部位妥善止血。經過3個多小時的精細操作,在確保最小腦損傷的情況下清除血腫,術中各項監測指標平穩,術后復查頭顱CT顯示血腫清除滿意。術后經過重癥監護室積極治療,患者平穩渡過中樞性高熱、嚴重肺部感染、營養低下等并發癥期,各項生命體征逐步平穩,對外界刺激有適當反應,術后13天轉入普通病房繼續康復促醒治療。
腦干手術是神經外科公認最具挑戰性的領域,醫生需要掌握2級切口,13個安全入路,其手術難度大、風險高、效果差,多數醫生對此位置出血不愿開刀、不敢開刀。過去腦干出血的患者只能“聽天由命”,以藥物保守治療為主,死亡及重殘率很高。我院神經外科腦血管病團隊依托高端顯微鏡、導管室、手術器械,目前已掌握手術入路技術,在常規腦出血治療基礎上已成功開展腦干出血鉆孔引流、內鏡下腦出血清除,腦血管病介入治療、復合手術治療等先進技術,在出血性腦血管疾病治療方面達到國內先進水平。
附手術前患者顱腦CT:

術中情況:

術后患者顱腦CT:

(馬洪鑫)

你所在的位置: