技術前沿
Technological frontier
臨床核醫學是利用放射性核素示蹤原理和輻射生物效應進行疾病診斷和治療的新興學科,其應用充分體現了現代醫學精準診療的發展趨勢。核醫學在疾病的早期 “定位”“定性”“定量”“定期”診斷和對特定疾病的靶向治療上具有獨特且不可替代的作用。我院核醫學科精選部分病例進行分享,以期總結臨床經驗,拓寬診療思路,提高對疑難病例的診療水平。
病例
老年男性,3個月前無意中發現左側頸部腫物,彩超示:左側頸部低回聲結節,淋巴結可考慮。既往有“高血壓、糖尿病、腦梗死”等病史,控制尚可。




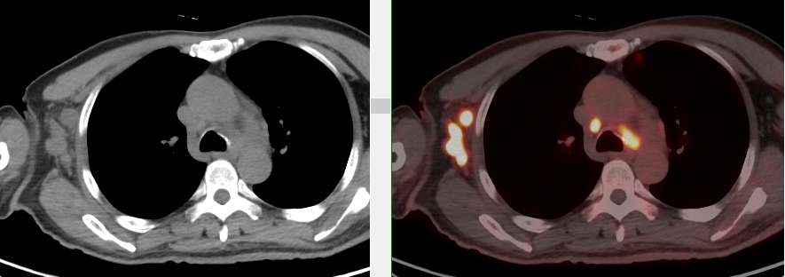
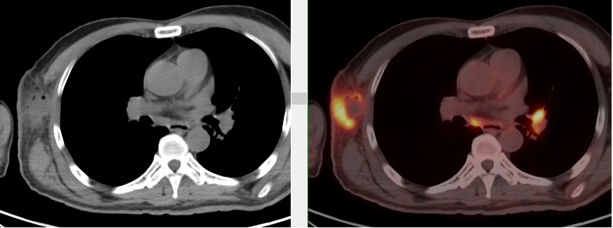
頸胸部多處代謝異常病灶
診療經過
完善胸部強化CT考慮縱隔MT并縱隔、右腋窩及雙肺門多發腫大淋巴結,后行超聲引導下行右腋窩腫物穿刺活檢術,病理首先考慮惡性腫瘤,因穿刺組織局限,腫瘤細胞成分過少,不能明確診斷。
完善PET/CT檢查示:右側腋窩、雙側中下頸部、縱隔、雙側肺門多發MT,建議淋巴結活檢。后患者行右腋窩淋巴結切除活檢術,經北京大學第三醫院病理科會診示:右腋窩淋巴結惡性腫瘤,呈淋巴竇內生長模式,瘤細胞呈上皮樣,異型性明顯,伴中性粒細胞浸潤。結合病史及免疫組化,考慮為SMARCA4(BRG1)缺失的胸部腫瘤,伴神經內分泌標記表達。
病例相關知識
SMARCA4缺失的未分化腫瘤是2021年5月出版的《WHO胸部腫瘤分類(第5版)》中新增加的類型,隸屬于其他上皮腫瘤大類,屬于高級別惡性腫瘤。SMARCA4基因位于染色體19q13,編碼BRG1蛋白。BRG1蛋白在腫瘤發生發展中起到抑癌基因的作用,其表達異常與多種腫瘤的發生有關,累及多部位和多臟器,如中樞神經系統、鼻腔、鼻竇、胸腔、胃腸、胰腺、子宮、卵巢、腎臟等部位。
胸部SMARCA4缺失腫瘤好發部位為縱隔、肺、胸膜,多呈侵襲性生長,普遍發生轉移,累及骨、肺、腦、腎上腺等,預后較差。
診斷思路
本例為罕見病理類型的腫瘤,影像學表現無明顯特異性,診斷困難。強化CT和穿刺病理已基本明確為惡性腫瘤,行PET/CT檢查一是為了全身檢查,完善分期,二是根據PET代謝情況指導進行生物靶區活檢,進一步明確病理診斷。最終,PET/CT除縱隔病變外發現更多頸胸部淋巴結代謝異常,綜合考慮后對腋窩淋巴結進行切除活檢,最終得到病理證實。
TRPS:
PET/CT引導下微創經皮生物靶區活組織檢查術專家共識(中華醫學會核醫學分會,2017版):PET/CT具有功能顯像、全身顯像的特點,可一次性完成全身分期,有利于選擇最安全、最高臨床分期病灶取樣病理活檢;可區分腫瘤活性部位和壞死部位,準確取樣,避免無效活檢。
(張峻圍 關祥禎)

你所在的位置: