技術前沿
Technological frontier
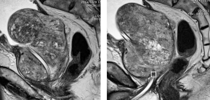
近日,我院泌尿外科二病區成功完成一例高齡患者巨大前列腺(351克)剜除手術。

患者,男,86歲,排尿困難病史二十余年,半年前曾因排尿困難住院,檢查超聲示前列腺肥大并膀胱多發結石,殘余尿300余ml,建議患者手術治療,患者因高齡懼怕手術拒絕手術治療。近日,因排尿困難尿潴留導致腹脹再次住院,予以留置導尿緩解癥狀。
此次,患者因不愿長期留置尿管,要求行手術治療。前列腺MRI檢查示前列腺巨大,大小為351克,且合并膀胱多發結石。一般前列腺肥大手術患者大小多在20-100克,超過200克的病例較為罕見,此例患者臨床極為罕見,為我院開展前列腺手術最大體積前列腺。一般超大體積前列腺多采取開刀手術,可縮短手術時間,但開刀手術創傷大,術中術后出血較多,患者術后恢復慢,痛苦大,且存在膀胱漏尿,切口裂開等并發癥。

經趙偉副主任醫師,邢猛、劉進亮主治醫師醫療團隊討論后,決定為患者實施經尿道前列腺剜除手術。此手術經尿道完成,無刀口,創傷小,但由于此患者前列腺體積巨大,且合并膀胱多發結石,手術時間長,前列腺創面大,術中滲血多,且患者術前貧血(99g/l),高齡,手術風險巨大。術前與患者家屬充分溝通,并予以備血。麻醉醫師劉希明考慮患者高齡,手術時間長,出血多,全麻術后蘇醒困難,患者轉重癥監護室可能性極大,經全面評估后為患者采取了腰硬聯合麻醉。
術中由于患者創面大滲血多,一度出現血壓低,麻醉醫師及手術室護士積極為患者聯系輸血,維持患者血壓。經過四個多小時,終于成功為患者完成了經尿道前列腺鈥激光剜除術+膀胱結石碎石取石術,術中尋找剜除層面清晰,止血徹底。
患者術后安返病房,術后基本無出血,尿色一直較清,第二天即下床活動并正常進食,第六天拔除尿管。拔除尿管后,患者排尿通暢,且未出現尿失禁,對手術效果極為滿意。
(泌尿外科二病區)

你所在的位置: